技术引领
避免开胸开腹 省医血管外科改制开窗-分支支架技术治疗累及内脏动脉分支的复杂胸腹主动脉疾病
近期,山东第一医科大学附属省立医院()进行了2023年度技术创新奖和重大抢救奖评选。为让社会大众更深入、更精准地认识医院优秀科室,展现医院近年来疑难复杂疾病救治能力和医疗技术水平的进步,让患者及家属享受到更加优质、高效、快捷的诊疗服务,医院将陆续推送相关获奖案例。
51岁患者李先生因“腰腹痛5月,间断发热、乏力、多汗4月”转入山东第一医科大学附属省立医院()治疗。李先生既往高血压病史10年余,冠心病病史10余年,近1月频繁发作心绞痛症状,否认既往口腔及生殖器溃疡病史,有每年食用羊胎盘及羊肉水饺病史。临床诊断明确,布氏菌病合并多发性感染性动脉瘤,病变累及内脏动脉区、腹主动脉分叉上方、右髂总动脉、胸降主动脉起始段。
多发性动脉瘤系布氏杆菌感染所致,针对病因的治疗是关键,能否控制住布氏杆菌的感染事关成败。患者入院后,血管外科即给予规范的抗布病药物治疗,同时做好了应急腔内手术治疗方案,一旦瘤体发生破裂就急症腔内治疗。患者合并冠心病,频发心绞痛发作,冠脉CT提示冠脉三支病变,外科手术治疗风险大,联系心内科行冠脉造影评估后,行冠脉左主干支架植入术,术后患者心绞痛症状明显缓解,体力逐渐恢复。患者主动脉多发动脉瘤瘤体巨大,手术指征强烈,原则上需要限期手术,但病人全身情况无法耐受胸腹联合切口的传统开放手术治疗。因病变累及内脏动脉分支,需要行开窗-分支支架技术腔内修复动脉瘤,同时保留内脏动脉血流(以保留肝、肾、胰、脾及肠管功能)。
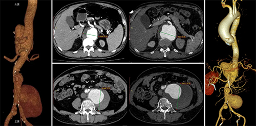
经4个月的抗感染治疗后,感染指标恢复正常,血培养阴性,复查瘤体增大约1cm(如下图示),仍有腰腹部疼痛不适症状,决定行台上改制开窗-分支支架治疗。

抗布病药物治疗前后4个月复查CT可见:瘤体增大约1cm
手术在全麻下实施,根据术前CT测量数据转化为平面图,根据图纸改制支架开窗并缝制短分支后,经双侧股动脉、左腋动脉入路植入体内过程顺利,术毕造影可见瘤体隔绝满意,分支动脉血流通畅(如下图示)。术后腰腹痛症状缓解,术后第4天顺利出院。随访3年期间瘤体逐渐缩小,无明显内漏,无感染复发。

手术过程图示:根据术前CT数据转化成平面图,台上改制支架并植入体内隔绝瘤体并重建脏动脉分支血流;术后复查可见瘤体逐渐缩小,支架形态良好,分支血流通畅
胸、腹主动脉瘤是血管外科常见疾病,瘤体一旦破裂出血,死亡率大于90%。传统治疗方式通常采用开胸开腹的外科手术,切除病变动脉瘤并用人工血管代替该段病变血管,围手术期并发症发生率及死亡率高。尽管手术创口巨大,一旦顺利度过围手术期,远期结果满意。与传统的外科手术相比较,血管外科更加微创的主动脉瘤腔内修复术是在DSA透视下,经双侧股动脉直接穿刺预留缝合线结,将折叠的覆膜金属自膨支架送入胸腹主动脉内,将覆膜支架固定于动脉瘤近端的正常动脉壁,远端通过支架拼接建立分叉型的远端血流通路,保障盆腔和下肢血供。胸/腹主动脉瘤的腔内修复术(EVAR)具有创伤小、恢复快的优点,已经逐渐成为首选的、主流的微创治疗方法,尤其适合高危高龄、手术耐受力差而无法耐受传统经胸经腹开放手术的患者。

胸主动脉瘤腔内修复术治疗胸降主动脉瘤(TEVAR)

腹主动脉瘤腔内修复术治疗肾下腹主动脉瘤(EVAR)
主动脉疾病一旦累及到分支动脉(弓上动脉、内脏动脉)都属于复杂胸腹主动脉病变,在做腔内治疗的时候需要在覆膜支架封闭隔绝瘤体的同时完成主动脉分支的血流重建。目前,医生台上改制开窗-分支支架技术是主流的方法,也是临床治疗的难点和热点,它可以有效降低传统胸腹联合切口开放手术、内脏动脉去分支技术的围手术期并发症和死亡率,尤其是使得高危高龄、手术耐受力差的患者得到有效救治的机会。这项技术是最复杂的主动脉腔内手术之一,个体化制作开窗-分支支架技术难度高,既要根据每个病变的解剖特点准确开窗和缝制分支,更要在手术中将窗口对准要重建的分支动脉,独立开展该项技术需要医院综合实力支撑(人员、场地、设备)。

支架经个体化改制后的开窗-分支支架
省立医院血管外科在吴学君主任带领下,由董典宁副主任医师牵头成功申报医院新技术项目,举全科之力,逐步开展并改进创新了台上改制开窗-分支支架技术,形成了强有力技术团队,具备了急诊手术改制开窗-分支支架的能力,大幅度缩短了术前的准备时间,有效解决了高危高龄的复杂胸腹主动脉疾病的腔内微创治疗问题。团队至今共完成40余例多内脏动脉分支重建,取得了满意疗效,围手术期手术并发症可控,随访期间可见主动脉分支通畅率高,瘤体封闭满意。

改制开窗-分支支架治疗肾周腹主动脉瘤,重建内脏动脉4分支,分支动脉血流通畅,瘤体封闭满意

改制开窗-分支支架治疗白塞氏病相关的内脏动脉区囊性动脉瘤,随访期间可见内脏动脉分支通畅,瘤体逐渐消失

急诊行改制开窗-分支支架治疗破口位于内脏动脉区的复杂性B型主动脉夹层,重建4个内脏动脉分支,术后顽固性胸腹部疼痛消失,分支动脉血流通畅

影像融合技术的开展应用便利了手术重建内脏动脉分支,可以减少造影剂用量,缩短手术时间,有效降低围手术期的并发症发生率

改制开窗-分支支架治疗腹主动脉瘤腔内修复术后近端内漏,采用内分支技术重建双肾动脉血流,有效减少窗口内漏几率,分支形态自然,术前内漏消失
目前,省立医院血管外科台上改制开窗-分支支架技术的基本操作流程和关键步骤逐步完善,技术细节逐步改进,病例数量和质量居国内前列、省内首位。下一步,血管外科将进一步改进完善技术流程和细节,让更多的高危高龄手术耐受力差的复杂胸腹主动脉瘤患者得到更好的救治机会。

